0
Skip to Content
welcome package
clinical cases
gallery
lab slip
upload
portal
event
Open Menu
Close Menu
welcome package
clinical cases
gallery
lab slip
upload
portal
event
Open Menu
Close Menu
welcome package
clinical cases
gallery
lab slip
upload
portal
event
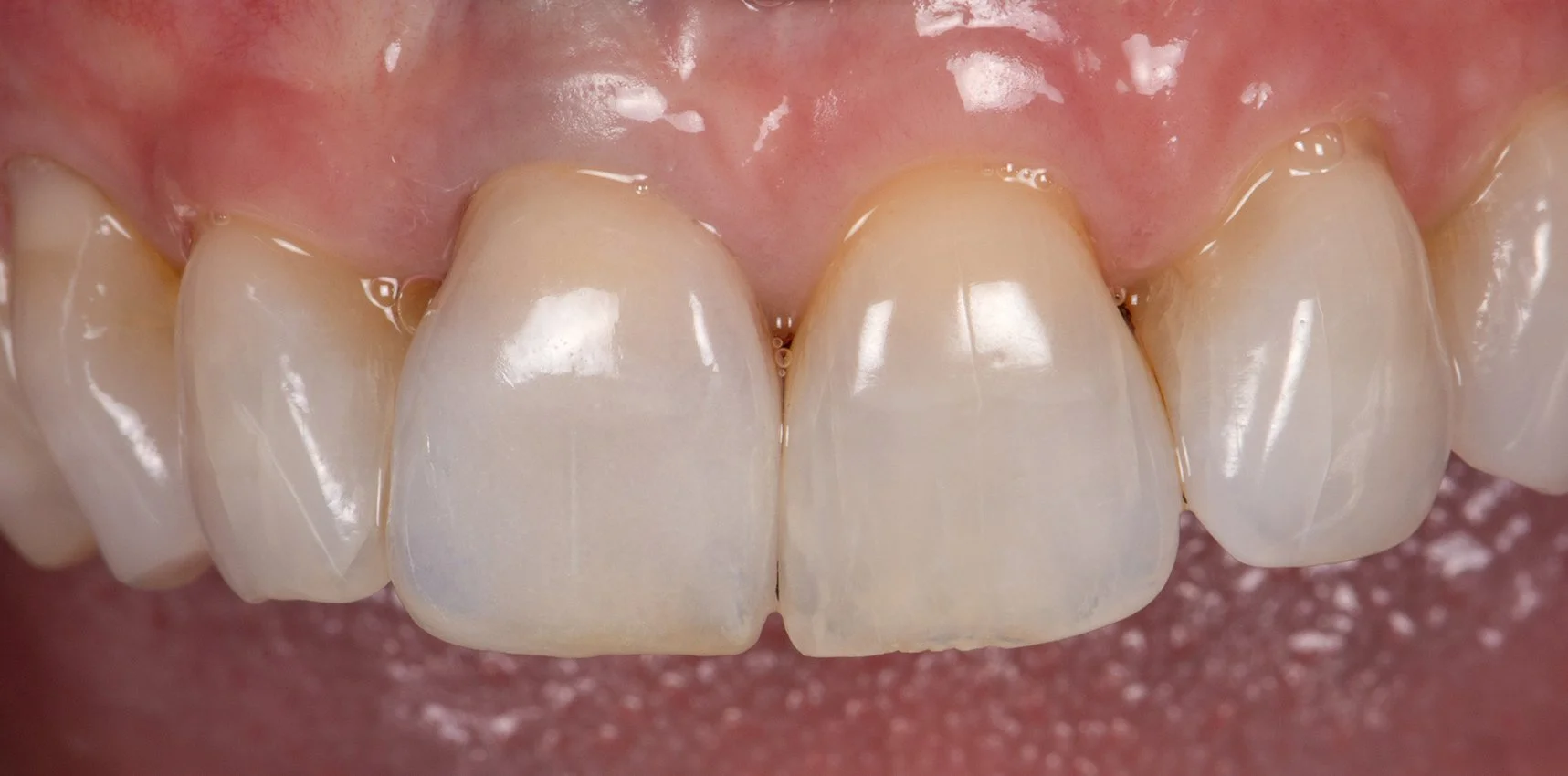
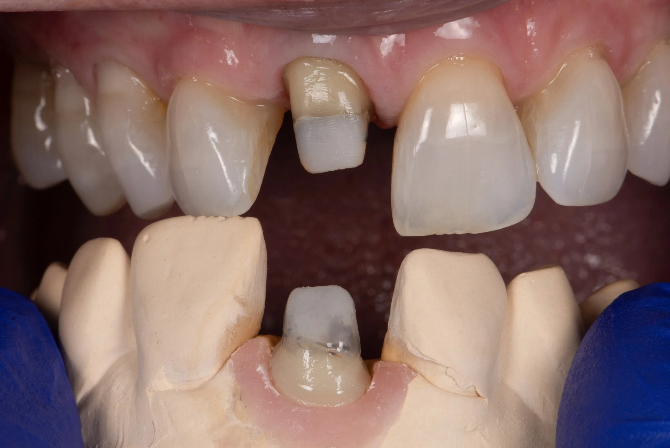
Case 4
Previous
Previous
Case 3
Next
Next
Case 5